У 15-летнего подростка из Владимира нашли опасную быстрорастущую опухоль мозга

Ребенок поступил во владимирскую ОДКБ с жалобами на затрудненное дыхание через нос и обильное носовое кровотечение.

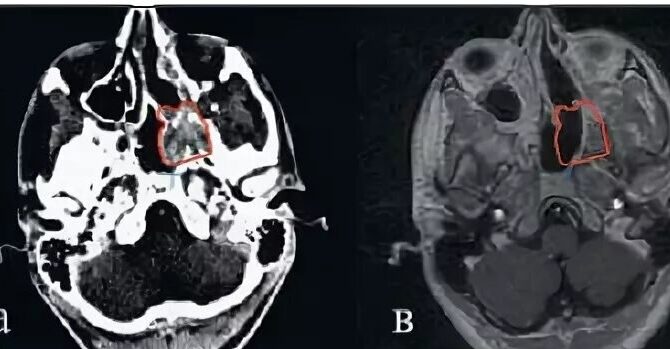
Ребенок поступил во владимирскую ОДКБ с жалобами на затрудненное дыхание через нос и обильное носовое кровотечение. Врачи поставили жутковатый диагноз – юношеская ангиофиброма основания черепа. Об этом сообщили в сообществе больницы во «ВКонтакте».

Медики отправили пациента в Федеральный центр имени Рогачева, где мальчику сделали операцию. Сейчас его уже выписали, ребенок будет долечиваться в ОДКБ.

Юношеская ангиофиброма основания черепа – это доброкачественная опухоль, которая чаще всего встречается у мальчиков-подростков 9-19 лет. Опухоль опасная, агрессивно растущая. Основные симптомы: затруднение носового дыхания, кровотечения из носа, нарушения слуха, деформация лицевого скелета, зрительные и глазодвигательные нарушения. Ангиофиброма может привести к смерти.

Ранее владимирские врачи спасли тяжело больную туберкулезом беременную женщину. Медикам пришлось сделать ей кесарево, чтобы спасти ее и ребенка.

Фото: ОДКБ

Последние новости

Муромская городская прокуратура принимает меры по ограничению доступа к сайтам, на которых реализуются снюсы

Муромской городской прокуратурой проведен мониторинг сети «Интернет» на предмет незаконной реализации снюсов (жевательного табака).

Мы помним. Мы гордимся. Василий Иванович Сироткин

Василий Иванович родился 6 мая 1925 года в деревне Арефино Красно-Баковского района Горьковской области в крестьянской семье.

Спорт и чистота – отличный дуэт! Присоединяйся к Спортивной школе!

Сегодня сотрудники МБУ ДО СШ провели традиционный весенний субботник на прилегающей территории.

Потребительский кредит без боли: как не стать жертвой долговой ямы

Как взять кредит с умом и не пожалеть об этом спустя пару месяцев

На этом сайте представлены актуальные варианты, чтобы снять квартиру в Чайковском на выгодных условиях

Комментарии (0)

Добавить комментарий

Ваш email не публикуется. Обязательные поля отмечены *