Во Владимире врачи спасли жизнь юному пациенту с опасным заболеванием

Владимирские врачи вылечили ребенка от тяжелой формы гнойной пневмонии Врачи-педиатры смогли поставить на ноги ребенка с тяжелой формы пневмонии со скоплением гноя и воздуха в плевральной полости,

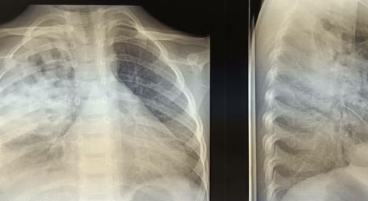
Владимирские врачи вылечили ребенка от тяжелой формы гнойной пневмонии

Врачи-педиатры смогли поставить на ноги ребенка с тяжелой формы пневмонии со скоплением гноя и воздуха в плевральной полости, рассказали в областной детской клинической больнице.

По словам медиков, потребовалось проведение  дренирования плевральной полости. Затем юному пациенту назначили физиотерапию и подобрали терапию. В настоящее время малыш уже выписан домой.

Врачи также добавили, в раннем возрасте смертность от данного заболевания относительно высока. 

Напомним, ранее сообщалось , что во Владимирской области для спасения подростка понадобился вертолет.

Автор: Михаил Ломоносов

Автор: Областная детская клиническая больница города Владимира, источник фото .

Последние новости

Муромская городская прокуратура принимает меры по ограничению доступа к сайтам, на которых реализуются снюсы

Муромской городской прокуратурой проведен мониторинг сети «Интернет» на предмет незаконной реализации снюсов (жевательного табака).

Мы помним. Мы гордимся. Василий Иванович Сироткин

Василий Иванович родился 6 мая 1925 года в деревне Арефино Красно-Баковского района Горьковской области в крестьянской семье.

Спорт и чистота – отличный дуэт! Присоединяйся к Спортивной школе!

Сегодня сотрудники МБУ ДО СШ провели традиционный весенний субботник на прилегающей территории.

Пошаговое руководство: как грамотно оформить первый микрозайм

Как взять кредит с умом и не пожалеть об этом спустя пару месяцев

Здесь вы найдете свежие и актуальные новости в Будённовске, охватывающие все важные события в городе

Комментарии (0)

Добавить комментарий

Ваш email не публикуется. Обязательные поля отмечены *